近日,公司刘博副教授作为通讯作者,巩志国博士、张双翼讲师和内蒙古医科大学基础医公司沈媛讲师作为共同第一作者在国际知名学术期刊《Microbiology Spectrum》上发表题为“Braun Lipoprotein Protects againstEscherichia coli-Induced Inflammatory Responses and Lethality in Mice”的学术论文。公司为本论文的版权所有单位。
《Microbiology Spectrum》为美国微生物学会(American Society for Microbiology,ASM)旗下期刊,2022年中科院大类分区生物学一区Top期刊,最新影响因子9.043。
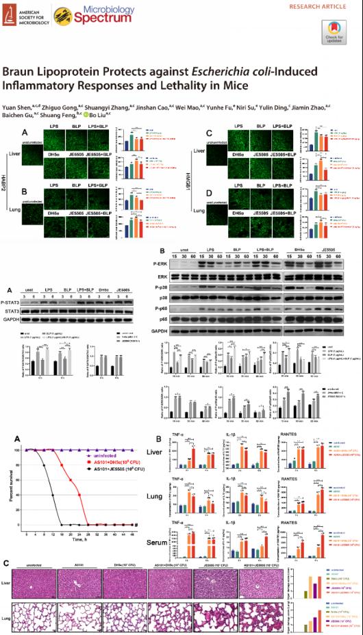
研究表明,大肠杆菌外膜成分布劳恩脂蛋白(Braun lipoprotein,BLP)在调节大肠杆菌感染导致的宿主机体炎症反应中发挥了重要的作用。BLP诱导的耐受现象可通过MAPK和NF-κB信号通路调控促炎性细胞因子和抗炎因子的分泌,从而降低小鼠器官损伤导致的死亡。该机制可能是大肠杆菌在宿主体内的重要生存策略。该研究提供了关于宿主-细菌免疫互作的新研究思路。为临床诊断和治疗大肠杆菌感染导致的相关疾病(如菌血症和败血症)提供了新的理论基础。
该研究受国家自然科学基金项目(No. 32160854)的资助。
